Periodontal Treatment
Healthy gums are the foundation of a healthy smile, at The Tooth Place, we offer a range of gum treatments to help prevent, manage, and treat gum disease—also known as periodontal disease.

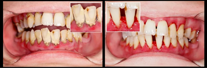
What is Gum Disease?
Gum disease is a common condition caused by plaque build-up around the teeth. It can range from mild gingivitis (red, swollen gums that bleed when brushing) to more severe periodontitis, which can damage the supporting bone and lead to tooth loss if left untreated.
Common signs of gum disease include:
- Bleeding gums
- Persistent bad breath
- Gum recession
- Loose or shifting teeth
- Sensitivity or discomfort when chewing
Scale and Polish
A scale and polish is a professional clean that removes plaque and tartar from your teeth—especially in areas your toothbrush can’t reach. It includes:
- Scaling – Removal of tartar (hardened plaque) above and below the gum line
- Polishing – Smoothing tooth surfaces to remove stains and make it harder for plaque to stick
This simple but effective treatment helps prevent gum disease and keeps your smile fresh.

Subgingival Scaling (Deep Cleaning)
For patients with signs of gum disease, we offer deep cleaning below the gum line to remove bacteria and infection from the root surfaces.
- Performed under local anaesthetic for comfort
- Reduces inflammation and promotes gum healing
- Often done over multiple appointments for best results
Why Gum Health Matters
Untreated gum disease can affect more than just your mouth. It has been linked to conditions such as diabetes, heart disease, and pregnancy complications. That’s why early detection and regular hygiene visits are key to protecting both your oral and overall health.
If you're concerned about bleeding gums or think you might have gum disease, we’re here to help with friendly advice and professional care.
